Starting Jan. 1, 2024 Orthodontic PA Requests No Longer Accepted by Mail or Fax
Effective Jan. 1, 2024, required records for orthodontic prior approval (PA) requests including panoramic radiographic image, 2D cephalometric radiographic image, intraoral and facial photographs, pre-treatment narrative, iTero OrthoCAD digital models, and photos of plaster, stone, or resin (3D printed) models will no longer be accepted by mail or fax unless directed by DHB or GDIT staff. Required records for orthodontic PA requests MUST be attached to the PA segment by the provider directly in the NCTracks Provider Portal.
This includes medical necessity documentation and responses to requests for additional information. After Jan. 1, 2024, models, x-rays, and photos that are submitted by mail or fax will not be reviewed and immediately returned to the provider. PA requests submitted via mail or fax will be voided and not reviewed.
When the records are being prepared, be sure that all items are clearly labeled with the date taken and the beneficiary’s name. All radiographic images, photographic images, and models must be of acceptable diagnostic quality or the case cannot be reviewed.
For providers using iTero/OrthoCAD technology to upload models in a .3DM file, NO CHANGE to the current submission process is needed. This is the state’s preferred submission method for models.
In preparation for the mandatory electronic submission, NCTracks has created a new attachment type entitled MODELPHOTO to be used for the photo submission of models. Orthodontic providers not using iTero/OrthoCAD to submit digital models should use the MODELPHOTO attachment type in lieu of mailing plaster, stone, or resin (3D printed) models.
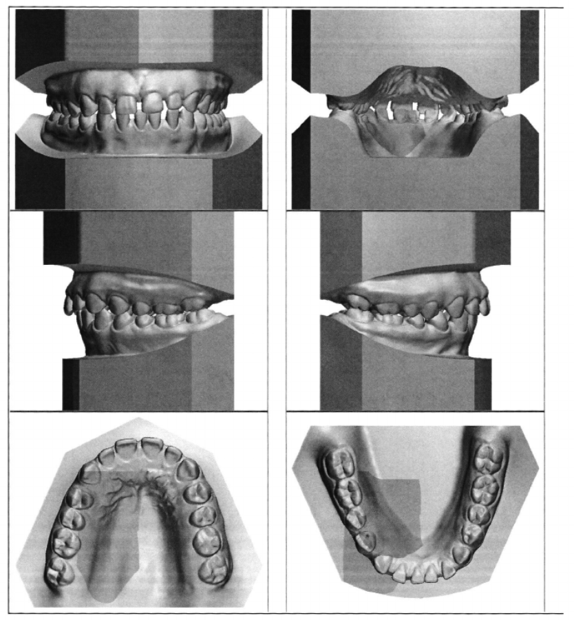
Qualifying criteria for the requested orthodontic service should be shown clearly in the photos (see example photos below, on page 2). The photos of the plaster, stone, or resin (3D printed) models should include the following views:
- Frontal Occluded
- Palatal Occluded
- Left Occluded
- Right Occluded
- Maxillary Occlusal
- Mandibular Occlusal
Example Model Photos:
24011-R-2727
NCTracks
